View Stroke Blood Clot In Brain Surgery Pictures

13+ What Does A Brain Tumor Look Like On The Outside US

13+ What Does A Brain Tumor Look Like On The Outside US. Sometimes, people with a brain tumor do not have any of these changes. Imaging studies like a ct scan or mri to see detailed images of the brain.

What does ependymoma look like in children? | About ...
What does ependymoma look like in children? | About ... from i.pinimg.com
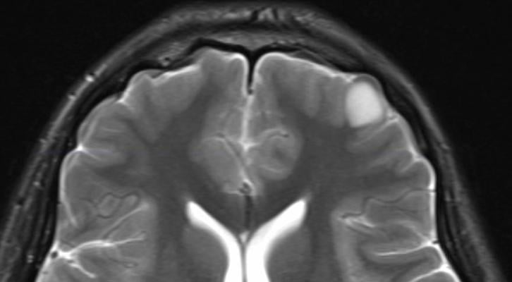
This content does not have an english version. Together, we're making a difference tumors that start in another part of the body and then spread to the brain or spinal cord are called oligodendrogliomas sometimes spread along the csf pathways but rarely spread outside the brain. Brain tumors can be malignant (also called brain cancer) or benign (do not contain cancer cells).

This content does not have an english version.

A brain tumor is any tumor in the brain. Which part of my brain is affected by the tumor and what does this region of the brain do? 05/28/2008 05:12am edt gliomas (primary brain tumors) start in the brain or spinal cord tissue. Some tumors, like meningioma, are solid and look like a mass.

Komentar